Próximos cursos:
Aprimore suas habilidades em ultrassom point-of-care na emergência.


Galeria
Inspire-se com nossos cursos de ultrassom anteriores.


Sobre o curso
Feito para você.






O POCUS na Emergência da Emergência101 é um curso livre, criado por médicos emergencistas e focado no que muda sua conduta à beira-leito. Treinamos protocolos essenciais e a tomada de decisão em minutos diante do paciente grave. O ultrassom point-of-care não é o futuro — é o presente. Se você trabalha na emergência, precisa falar essa linguagem.
Duração: 12h (presencial) + material online
Certificado: Sim
O que você irá aprender:
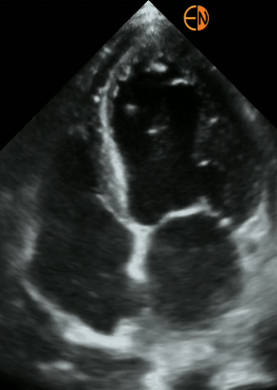
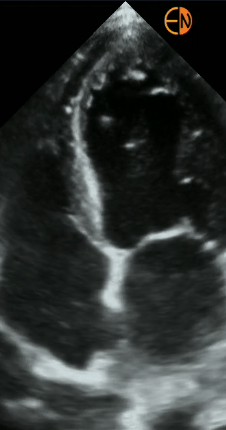
POCUS Cardíaco básico: Principais janelas cardíacas, avaliação da função sistólica dos ventrículos, avaliação do choque circulatório.
POCUS Pulmonar: Abordagem ao paciente com insuficiência respiratória aguda, avaliação de derrame pleural, modo-M no diagnóstico de pneumotórax.
POCUS Vascular: Síndrome aórtica aguda e tromboembolismo venoso.
POCUS no trauma: Protocolo e-FAST e tomada de decisão na sala vermelha.
POCUS em procedimentos: Simulação de punção guiada em técnicas transversal, longitudinal e oblíqua.
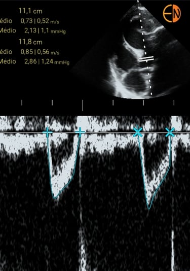
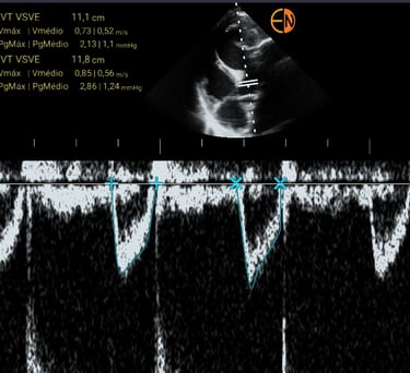
POCUS Cardíaco - medidas: Avaliação quantitativa do débito cardíaco, volume sistólico e função sistólica dos ventrículos.
Conteúdo extra:
Biblioteca de vídeos com alterações patológicas
Videoaulas
Grupo de Whatsapp para discussão de imagens
Lista de interesse
Quer levar nosso curso de POCUS para sua cidade?
Junte seus colegas e preencha o formulário abaixo que nós entraremos em contato!


