
Protocolo BLUE: um passo-a-passo
Neste post, você vai aprender a conduzir o protocolo BLUE em uma situação de dispneia na emergência de maneira rápida e efetiva. Iremos te demonstrar o passo-a-passo, as imagens patológicas e seus significados, além do poder e das limitações desse tipo de avaliação na emergência. Seria o fim do estetoscópio?
Introdução:
A dispneia aguda é uma situação frequente e desafiadora no departamento de emergência. Em algumas situações, a causa é clara. No entanto, existem situações nas quais mesmo uma boa coleta de anamnese e exame físico detalhado são insuficientes para guiar a conduta inicial. Além disso, em situações de grande instabilidade clínica e indisponibilidade de recursos avançados (pense naquele paciente intubado e conectado ao ventilador mecânico, com SatO₂ 85% e FiO2 100%, sem condições seguras de transporte para uma tomografia, por exemplo), o tempo é precioso.
A radiografia de tórax nem sempre está disponível de imediato, além de ser um exame pouco sensível e específico nas principais etiologias críticas.
Diante desses cenários, o protocolo BLUE (Bedside Lung Ultrasound in Emergency), descrito por Daniel Lichtenstein pela primeira vez em 2008, se mostra bastante útil.
Esse protocolo representa uma forma sistematizada de avaliar o paciente com insuficiência respiratória aguda com o ultrassom point-of-care para identificar a causa da dispneia aguda em menos de 3 minutos.
Estudos subsequentes demostraram que o protocolo apresenta uma excelente acurácia, sendo superior à radiografia de tórax para os seguintes diagnósticos críticos:
Além das vantagens relacionadas ao poder diagnóstico, o US beira-leito é realizado com mais rapidez, menor custo e sem dependência de outros profissionais e serviços. O protocolo BLUE também pode ser realizado com aparelhos ultraportáteis (hand-held), o que é uma vantagem para ambientes superlotados e/ou com pouco espaço.
Passo-a-passo:
Agora que você compreendeu a importância do protocolo, vamos discutir como executá-lo corretamente seguindo um passo-a-passo:
1. Posicionamento do paciente:
No protocolo BLUE, apenas algumas regiões específicas do tórax serão avaliadas, os chamados BLUE-points. Classicamente, serão avaliados 04 pontos no tórax anterior (02 em cada hemitórax) e 02 pontos posterolaterais (01 em cada hemitórax). Na maioria das vezes, o paciente será colocado em posição supina, porém, é possível que em pacientes com ortopneia, agitação psicomotora, não-cooperativos ou aqueles que simplesmente ainda não possuem uma maca disponível, a avaliação seja feita na posição sentada.
2. Transdutores:
O protocolo BLUE foi criado para ser realizado de forma rápida, inserindo-se nas primeiras etapas do exame físico do paciente com dispneia aguda. Considerando essa proposta, é ideal completar o exame inteiro utilizando apenas um transdutor, que pode ser o convexo, setorial ou linear. Dito isso, caso haja disponibilidade dos 03 tipos, a melhor escolha seria pelo transdutor convexo, que garante a avaliação do deslizamento pleural e dos principais artefatos do US pulmonar nos campos anteriores e possui profundidade adequada para visualização dos 02 campos posterolaterais (PLAPS-point). Caso seja necessário avaliar a morfologia da linha pleural com mais detalhes, troque para o transdutor linear, que possui frequência mais alta e garante maior resolução da imagem, apesar de não atingir campos mais profundos.
3. Pontos a examinar:
Seguindo o objetivo do protocolo BLUE — rapidez e efetividade — o escaneamento do tórax será feito apenas em pontos específicos, veja abaixo:
Talvez você esteja se perguntando: Uma radiografia ou tomografia de tórax é capaz de me mostrar o pulmão por completo, como é possível ter uma acurácia tão alta com o US pulmonar se não estou escaneando o tórax inteiro?
Essa pergunta pode ser respondida com o 7º princípio do US pulmonar, descrito por Lichtenstein: Distúrbios agudos possuem localização superficial e extensa (figura 2). Pensa comigo, nosso paciente está em insuficiência respiratória aguda, logo, o que quer que esteja causando uma apresentação clínica tão dramática, deve ser facilmente visível sem que o examinador precise "procurar demais".
4. Artefatos e deslizamento pleural:
Com uma boa janela pulmonar, visualizamos a linha pleural e os artefatos gerados no parênquima pulmonar.
Primeiro, você deve avaliar se há deslizamento pleural:
Deslizamento pleural → Movimento entre as pleuras visceral e parietal durante os movimentos respiratórios (figura 3a). O deslizamento é identificado no US pulmonar pela visualização direta do movimento das pleuras no modo B. O normal é perceber esse movimento em todos os campos pulmonares, pois a ausência de deslizamento pleural (figura 3b) pode sugerir a perda de contato entre as pleuras — há presença de líquido ou ar separando as pleuras parietal e visceral? — ou simplesmente a não-expansão pulmonar naquele ponto avaliado — atelectasia? intubação seletiva? — entre outras possibilidades.
Após a avaliação da presença ou ausência de deslizamento pleural, devemos avaliar os artefatos gerados a partir da linha pleural em cada um dos "BLUE-points" do protocolo, que podem ser:
Linhas “A“ → linhas horizontais paralelas à pleura (figura 4a), que indicam a presença de um pulmão normalmente aerado caso se associem à um deslizamento pleural presente (as linhas "A" são artefatos de reverberação da linha pleural anatômica, essa reverberação só acontece se houver ar logo abaixo da pleura).
Linhas “B” → São linhas verticais e hiperecogênicas (figura 4b), apagam as linhas “A” e alcançam a borda inferior da tela; As linhas B surgem em condições de espessamento dos septos interlobulares, o que pode ser causado por inflamação, edema ou até mesmo a presença de fibrose. No contexto agudo, o protocolo BLUE vai entender as linhas B como edema pulmonar ou pneumonia a depender do seu grau de distribuição. Para serem consideradas patológicas é necessário que:
Existam pelo menos 03 linhas B no campo pulmonar avaliado.
A linha vertical deve se originar da linha pleural e percorrer toda a tela do ultrassom.
A linha vertical apague as linhas A.
Linhas “C” → São artefatos verticais, semelhantes às linhas "B", mas que representam a perda de continuidade da linha pleural, pois não se originam da pleura saudável, mas sim de uma consolidação subpleural. A imagem de uma consolidação no US pulmonar dependerá do seu tamanho, no caso de consolidações subpleurais minúsculas (figura 4c), será possível identificar uma linha pleural irregular e espessada mais a presença de artefatos verticais (linhas C).
Consolidações maiores, mas com característica não-translobar irão exibir o "shred sign" (sinal da fragmentação/fractal) (figura 5a), que representa as bordas irregulares presentes na interface consolidação não-translobar/pulmão saudável (figura 5b; 5c;).
Por fim, as grandes consolidações translobares irão produzir o fênomeno da "hepatização pulmonar" , chamadas assim devido à semelhança de ecotextura e ecogenicidade entre um parênquima pulmonar consolidado — que perdeu praticamente todo o ar que o ocupava — e o fígado (figura 6a; figura 6b).
Consolidações podem ter broncogramas estáticos (sugerindo atelectasia) ou dinâmicos (sugerindo infiltrado alveolar, como líquido ou secreção purulenta).
Ponto pulmonar (Lung point ) → Representa o local exato onde há separação patológica entre a pleura parietal e visceral, ou seja, você verá a linha pleural na tela do seu aparelho normalmente, mas só uma parte dela apresentará deslizamento (figura 7a). O lung point é um sinal altamente específico para pneumotórax (sensibilidade: 66%, especificidade 100%), com alguns casos anedóticos de lung point presente em pacientes com bolhas pulmonares (por isso, lembre sempre de associar os achados do POCUS à probabilidade pré-teste do seu paciente: é um grande tabagista com dispneia progressiva ou uma vítima de capotamento?).
Em algumas situações, pode ser difícil visualizar se há ou não deslizamento pleural pelo modo B do ultrassom, como na avaliação dos ápices pulmonares, que são regiões naturalmente menos ventiladas, e/ou em pacientes com movimentos respiratórios menos intensos (imagine um paciente intubado com sedação profunda e volume corrente pequeno), nesses casos é possível utilizar o modo M (motion) do ultrassom para registrar o movimento da pleura, gerando dois sinais característicos:
Sinal da areia da praia: presença de deslizamento pleural. (figura 7b)
Sinal do código de barras: ausência de deslizamento pleural. (figura 7c)
5. Interpretação e tomada de decisão:
O paciente encontra-se com dispneia aguda e você já avaliou as 06 janelas pulmonares do protocolo BLUE, anotando se havia ou não deslizamento pleural em cada uma delas e também a natureza do artefato/imagem encontrados em cada janela. É hora de juntar todos os dados e tomar uma decisão. Vamos começar com a classificação dos "perfis" pulmonares, você vai ver que é bem intuitivo:
Perfil A: Significa que você encontrou Linhas “A” bilateralmente + deslizamento pleural presente nos 04 campos pulmonares anteriores (figura 1a) → ou seja, o paciente está com dispneia aguda mas não há alteração da imagem no US pulmonar, isso só seria possível nas seguintes situações:
O paciente está sendo acometido por doenças dos brônquios (DPOC/Asma) → cuja imagem não é acessível via US pulmonar.
Os sintomas vêm de uma oclusão da vasculatura pulmonar (Tromboembolismo pulmonar) → Pode não gerar alterações pleurais detectáveis nos BLUE-points.
A dispneia realmente vem de um acometimento do parênquima, mas o examinador ainda não encontrou (Pneumonia no PLAPS-point).
Perfil B: Você encontrou Linhas "B" patológicas (> 3/campo) bilateralmente nos campos pulmonares anteriores → Sugere Edema agudo de pulmão.
Perfil C: Foram visualizadas Linhas "C" em qualquer um dos 04 campos pulmonares anteriores → Sugere Pneumonia, independente de haver ou não deslizamento pleural.
Perfil A’: O apóstrofo depois da letra A significa que Linhas “A” foram visualizadas nos 04 campos pulmonares anteriores, mas não havia deslizamento pleural em um desses pontos. Se for acompanhado do achado de Lung point → Sugere Pneumotórax.
Perfil B': Significa a presença de Linhas "B" nos 04 BLUE-points anteriores, com ausência de deslizamento pleural. → Sugere Pneumonia.
Perfil A/B: É o padrão assimétrico, linhas A em um hemitórax, linhas B no outro. → Sugere Pneumonia. (as linhas B por congestão pulmonar tem característica mais simétrica).
Bem, agora entendemos todos os perfis e seus significados, mas resta uma dúvida:
→ O paciente com perfil A pode estar acometido por patologias completamente distintas em tratamento, como diferenciar?
Faça a pesquisa de TVP nas veias proximais dos membros inferiores (femoral e poplítea) → Perfil A + presença de TVP: sugere Tromboembolismo pulmonar.
Caso a pesquisa seja negativa, avalie o PLAPS-point → Se houver a presença de consolidação ou derrame pleural: sugere Pneumonia.
Se você não encontrar nada no PLAPS-point → Sugere DPOC ou Asma. Ou seja, o paciente está dispneico e seu pulmão não apresenta nenhuma alteração no US pulmonar. É importante lembrar que o protocolo BLUE foi construído para pacientes com insuficiência respiratória aguda/dispneia severa, logo, um paciente com taquipneia intensa secundária à acidose metabólica também poderá apresentar um perfil pulmonar nude (sem alterações) e isso não vai fechar o diagnóstico de DPOC/Asma. POCUS sem raciocínio é só um brinquedo.
6. Limitações:
Existem limitações relacionadas ao exame de ultrassom, como obesidade, enfisema subcutâneo, curativos em região torácica (condições que irão dificultar a visualização correta dos artefatos). E outras relacionadas ao protocolo BLUE per se, que no final das contas é uma avaliação operador dependente que deve ser realizada no momento correto e no paciente correto, o paciente com dispneia severa.
Caso o protocolo BLUE seja iniciado em um paciente sem dispneia, o fluxograma irá levar o médico(a) a fechar um diagnóstico de asma ou DPOC. Um paciente em pós-operatório com pequenas atelectasias basais será classificado erroneamente com pneumonia no PLAPS-point. Um paciente que iniciou terapia para edema agudo de pulmão no plantão da noite e está evoluindo com melhora, poderá apresentar no dia seguinte a presença de Linhas "A" no tórax anterior somadas a Linhas "B" em campos laterais e basais, o que poderia levar a um diagnóstico equivocado de pneumonia.
7. Conclusão:
O POCUS pulmonar é uma ferramenta assertiva e baseada em evidências que pode guiar o atendimento inicial do paciente com insuficiência respiratória aguda na emergência e UTI. O uso de uma extensão moderna do exame físico não retira a necessidade de avaliar a história clínica e o exame físico tradicional de um paciente, pelo contrário, essa ferramenta potencializa as probabilidades de acerto e deve ser utilizada no contexto adequado.
Espero que esse post te ajude na sua caminhada pelo departamento de emergência.
Referências:
LICHTENSTEIN, Daniel A. Lung ultrasound in the critically ill: The BLUE protocol. Cham: Springer, 2016. DOI: 10.1007/978-3-319-15371-1
LICHTENSTEIN, Daniel A.; MEZIÈRE, Gilbert A. Relevance of lung ultrasound in the diagnosis of acute respiratory failure: The BLUE protocol. Chest, v. 134, n. 1, p. 117-125, 2008. DOI: 10.1378/chest.07-2800
GARGANI, Luna; VOLPICELLI, Giovanni. How I do it: Lung ultrasound. Cardiovascular Ultrasound, v. 12, n. 25, p. 1-10, 2014. DOI: 10.1186/1476-7120-12-25
NAZERIAN, Peiman et al. Accuracy of lung ultrasound for the diagnosis of consolidations when compared to chest computed tomography. American Journal of Emergency Medicine, v. 33, n. 5, p. 620–625, 2015. DOI: 10.1016/j.ajem.2015.01.035
MARINI, Thomas J. et al. Lung ultrasound: The essentials. Radiology: Cardiothoracic Imaging, v. 3, n. 2, p. e200564, 2021. DOI: 10.1148/ryct.2021200564


Algoritmo diagnóstico do protocolo BLUE
Comparação de sensibilidade e especificidade entre exame físico, radiografia de tórax e POCUS para o diagnóstico de PNEUMONIA.






Comparação para PNEUMOTÓRAX*
Comparação para EDEMA PULMONAR*


Comparação para DERRAME PLEURAL*


Aparelho ultraportátil (Butterfly iQ+™)








Ilustração - paciente em decúbito dorsal. Gerado por IA*
Ilustração - paciente sentado. Gerado por IA*


Da esquerda para direita: transdutor convexo, linear e setorial. Foto da internet, modificada por IA*
Figura 1a. Pontos a serem examinados no tórax anterior. Na literatura original, são chamados de "upper-BLUE-point" e "lower-BLUE-point". As mãos posicionadas sobre o tórax do paciente servem para ajudar a localizar esses pontos: A mão superior toca a clavícula com o dedo mínimo, e as pontas dos dedos tocam a linha média do paciente. O "upper-BLUE-point" fica entre a base das falanges dessa mão. A mão inferior fica logo abaixo da outra e o "lower-BLUE-point" fica no meio do dorso dessa mão, como mostra a figura. Figura 1b. O ponto posterolateral é chamado de "PLAPS-point" (Posterolateral alveolar and/or pleural syndrome) e fica em uma linha imaginária entre a linha axilar posterior e o nível horizontal do "lower-BLUE-point". Para melhor acessá-lo você deve afastar o cotovelo e rotacionar o tórax do paciente levemente para o lado, pois o objetivo é que a face do transdutor aponte para a pleura em um ângulo de 90º. Foto retirada de Lichtenstein, D.A. Lung ultrasound in the critically ill. Ann. Intensive Care 4, 1 (2014). https://doi.org/10.1186/2110-5820-4-1, modificada por IA*


fig. 1a
fig. 1b
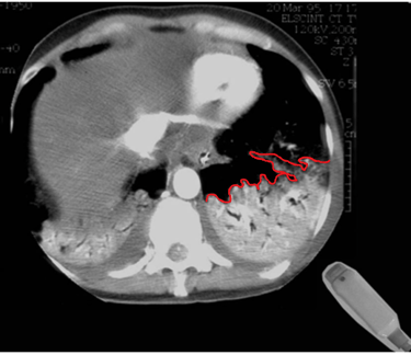
Figura 2. Veja como é possível diagnosticar essa extensa pneumonia utilizando os pontos do protocolo BLUE. Tomografia retirada de https://radiopaedia.org/cases/air-bronchogram-in-pneumonia#image-54184430, e editada pelo autor.




Figura 3a. Visualização do deslizamento pleural no modo B. Sim, é esse "tremelique", ou movimento de vai-e-vem que você percebe ao nível da linha pleural. Acervo pessoal do autor.
Figura 3b. Visualização de ausência de deslizamento pleural no modo M, que demonstra o "sinal do código de barras", indicando não haver movimento naquele ponto. Acervo pessoal do autor.
Linha pleural
Linha A1
Linha A2
Retirado de ISTRAIL, Larry. The POCUS Manifesto: Expanding the limits of our physical exam with point-of-care ultrasound. [S.l.]: [s.n.], 2021. E-book. Disponível em: http://www.thepocusmanifesto.com*






Figura 4a. Janela pulmonar normal, presença de linhas "A" (artefatos horizontais) com deslizamento pleural presente indicando pulmão aerado. Acervo pessoal do autor.
Figura 4b. Linhas B patológicas em um paciente com edema agudo de pulmão. Perceba que as linhas B acompanham o deslizamento pleural. Acervo pessoal do autor.
Figura 4c. Linhas C secundárias à pequenas consolidações subpleurais em paciente com pneumonia. Perceba a semelhança do artefato vertical com as linhas B, porém com uma linha pleural mais irregular e espessada. Acervo pessoal do autor.
Foto retirada de Lichtenstein, D.A. Lung ultrasound in the critically ill. Ann. Intensive Care 4, 1 (2014). https://doi.org/10.1186/2110-5820-4-1,


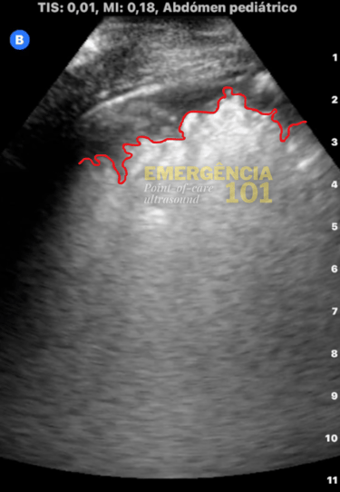
Figura 5a. Consolidação subpleural não-translobar em paciente com pneumonia. "Shred sign". Acervo pessoal do autor.




Figura 5b. Consolidação subpleural não-translobar em TC de tórax. Observe a irregularidade da pleura (em vermelho) em contato com o pulmão aerado. Imagem retirada de LICHTENSTEIN, Daniel A. Lung Ultrasound in the Critically Ill: The BLUE Protocol. Cham: Springer, 2016. DOI: 10.1007/978-3-319-15371-1. e editada pelo autor.
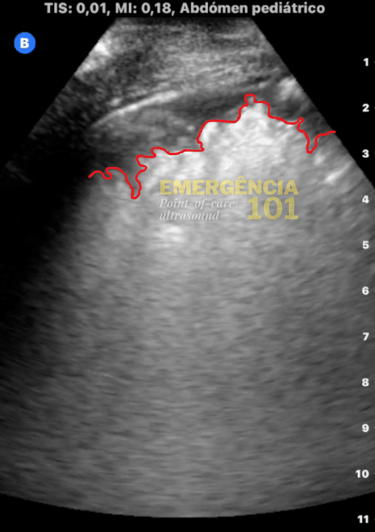
Figura 5c. Irregularidade pleural do "shred sign" para comparação com a tomografia (observação: pacientes diferentes). Acervo pessoal do autor.


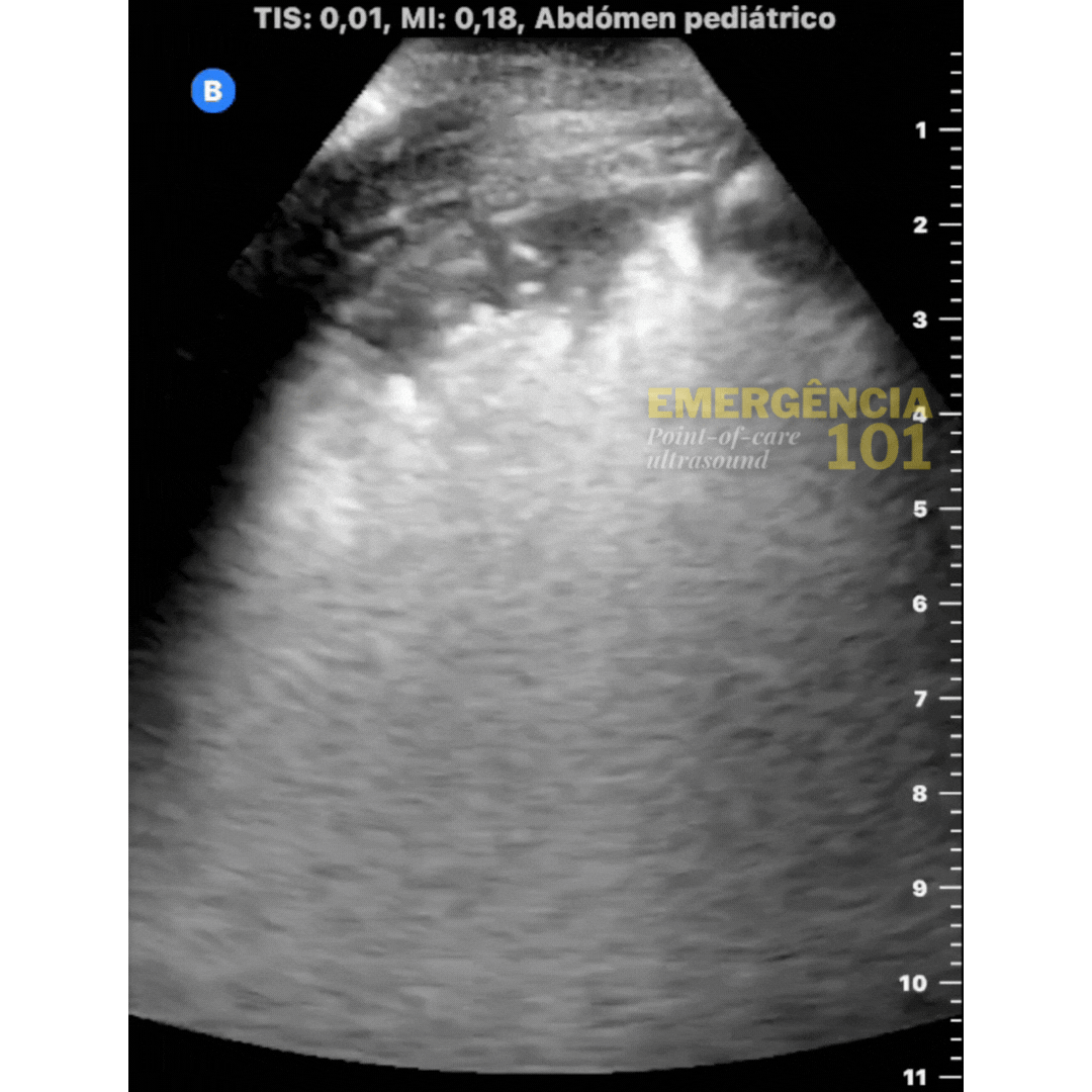
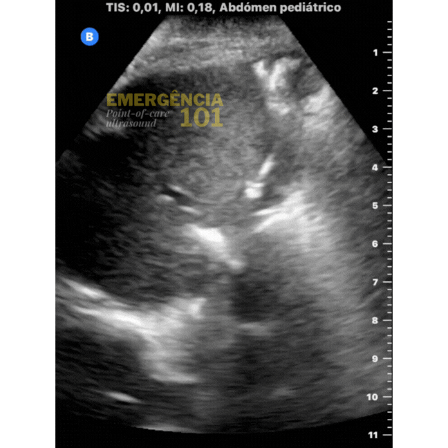
Figura 6a. Hepatização pulmonar em paciente pediátrico, com presença de broncogramas aéreos dinâmicos —representados por essa imagem hiperecóica (branca) dentro do parênquima pulmonar — que se movem com a respiração do paciente. Acervo pessoal do autor.


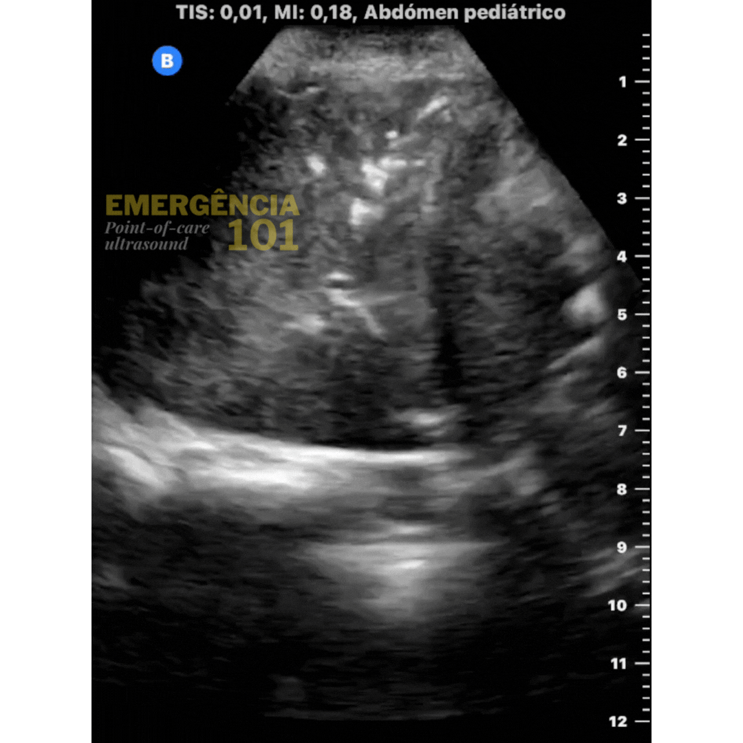
Figura 6b. Hepatização pulmonar em paciente pediátrico, com presença de broncogramas aéreos estáticos — sem movimento — dentro do parênquima pulmonar. Acervo pessoal do autor.






Figura 7a. Lung-point em paciente intubado e internado no hospital por hemorragia digestiva alta, evoluindo com aumento da necessidade de O2. Diagnóstico: pneumotórax (barotrauma?) Acervo pessoal do autor.
Figura 7b. Seashore sign (Sinal da areia da praia no modo M), significando presença de deslizamento pleural no campo pulmonar avaliado. Acervo pessoal do autor.
Figura 7c. Barcode sign (Sinal do código de barras no modo M), significando ausência de deslizamento pleural no campo pulmonar avaliado, não necessariamente causado por pneumotórax. Acervo pessoal do autor.


Algoritmo diagnóstico do protocolo BLUE.
Perceba que apenas no perfil A’, quando não é identificado o Lung point, torna-se necessária a utilização de outros métodos diagnósticos. Foto retirada de Lichtenstein, D.A. Lung ultrasound in the critically ill. Ann. Intensive Care 4, 1 (2014). https://doi.org/10.1186/2110-5820-4-1,




